Trong những năm gần đây, nhu cầu chăm sóc răng miệng chất lượng cao tại Đà Nẵng ngày càng gia tăng. Giữa nhiều phòng khám nha khoa, Dana Dental nổi bật với định hướng chuyên sâu về Implant cùng hệ thống trang thiết bị hiện đại và đội ngũ bác sĩ có chuyên môn.
Một trong những yếu tố quan trọng khi lựa chọn nha khoa là tính minh bạch về pháp lý. Dana Dental cung cấp đầy đủ thông tin:
Việc công khai rõ ràng các thông tin này cho thấy phòng khám hoạt động hợp pháp và được cấp phép bởi cơ quan chức năng, giúp khách hàng yên tâm hơn khi điều trị.
Theo thông tin từ website chính thức và nội dung trên Google Maps, Dana Dental là phòng khám Răng Hàm Mặt chuyên sâu về trồng răng Implant.
Implant là kỹ thuật phục hồi răng hiện đại, yêu cầu cao về:
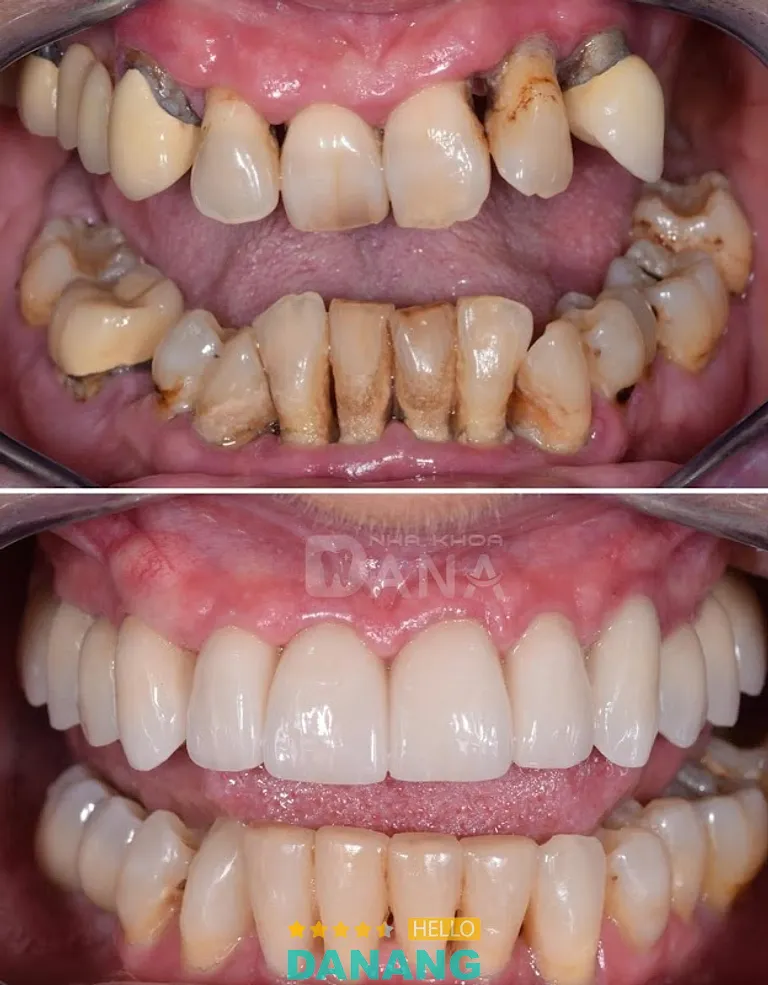
Tại Dana Dental, khách hàng được điều trị trực tiếp bởi đội ngũ bác sĩ có chuyên môn, hướng đến kết quả bền vững và an toàn.
Ngoài Implant, phòng khám còn cung cấp đa dạng dịch vụ:
Điều này giúp đáp ứng đầy đủ nhu cầu từ điều trị đến thẩm mỹ.
Dana Dental nhấn mạnh việc đầu tư vào hệ thống trang thiết bị hiện đại, bao gồm:
Đặc biệt, phòng khám áp dụng hệ thống vô trùng đạt chuẩn Châu Âu, một yếu tố quan trọng trong nha khoa nhằm:
Ngoài ra, việc sử dụng vật liệu nha khoa cao cấp cũng góp phần nâng cao chất lượng phục hình và độ bền lâu dài.

Một điểm nổi bật của Dana Dental là định hướng “bác sĩ trực tiếp điều trị”. Điều này mang lại một số lợi ích:
Quy trình tại phòng khám thường bao gồm:
Cách làm này giúp khách hàng hiểu rõ tình trạng của mình và chủ động trong quyết định điều trị.
Theo thông tin từ website và Facebook chính thức, Dana Dental hướng đến trải nghiệm:
Ngoài ra, việc duy trì các kênh online như website và mạng xã hội giúp khách hàng dễ dàng tiếp cận thông tin, đặt lịch và nhận tư vấn.
Phòng khám tọa lạc tại 129 Nguyễn Hoàng, quận Hải Châu, thuộc khu vực trung tâm của Đà Nẵng.
Ưu điểm vị trí:
Đây là một lợi thế lớn, đặc biệt với những khách hàng cần điều trị nhiều lần.
Ưu điểm:
Điểm cần cân nhắc:
Với định hướng phát triển chuyên sâu, đầu tư bài bản vào công nghệ và đội ngũ bác sĩ, Dana Dental là một trong những địa chỉ nha khoa đáng cân nhắc tại Đà Nẵng.
Phòng khám phù hợp với:
Chọn trường mầm non tại quận Hải Châu luôn là băn khoăn của nhiều bậc cha mẹ. Giữa nhiều lựa chọn, đâu là môi trường...
Mỗi spa trị mụn tại Q. Hải Châu đều có những điểm nổi bật riêng về chất lượng dịch vụ, đội ngũ kỹ thuật viên,...
Các trung tâm tiếng Anh tại Q. Hải Châu tại khu vực này không chỉ tập trung vào việc cải thiện kỹ năng ngôn ngữ...
Ngày càng có nhiều phòng khám tai mũi họng tại Q. Hải Châu ra đời nhằm đáp ứng tối đa cho nhu cầu khám chữa...
Nền tảng đánh giá xếp hạng minh bạch nhất ở Đà Nẵng
Hàng ngàn cơ sở kinh doanh dịch vụ, sản phẩm tại Đà Nẵng được cộng đồng Reviewer trải nghiệm và bình luận khách quan, minh bạch, chi tiết nhất.
HelloDaNang có tiêu chuẩn cung cấp thông tin rõ ràng, là cầu nối giúp hàng triệu người dùng có được lựa chọn sử dụng dịch vụ, sản phẩm tốt nhất!
© Bản quyền 2025 HelloDaNang.vn | Cookies - Chính Sách - Điều Khoản - Chính sách QC - Bạn Đọc
Trở thành người đầu tiên bình luận cho bài viết này!